한국헬스경제신문 박건 기자 |
면역력이 약해진 만성 질환자와 노년층에게 가장 위험한 질환은 무엇일까.
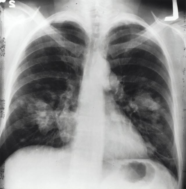
폐렴이다. 면역 기능이 떨어진 고령층이나 심혈관·당뇨·신장질환 등 기저질환을 앓는 노년층에게는 생명을 위협하는 합병증을 동반할 가능성이 크게 높아지기 때문이다. 초고령 사회에 진입한 우리나라에서는 그 위험성이 더욱 커질 것으로 우려된다.
건강보험심사평가원에 따르면 2024년 폐렴으로 진료받은 환자는 약 298만 명으로 전년(약 111만 명) 대비 2.7배 급증했다. 코로나19 유행기에는 감소 추세를 보였으나 팬데믹 이후 오히려 환자 규모가 증가했다. 2024년에는 마이코플라즈마 폐렴이 확산하면서 질병관리청이 유행주의보를 발령하기도 했다.
지난해 국내 사망원인 중 가장 높은 비중을 차지한 3대 질환은 암, 심장질환, 폐렴이었다. 폐렴으로 입원한 65세 이상의 사망률은 5명 중 1명 정도로 매우 높다. 중환자실로 입원해야 하는 중증 폐렴은 사망률이 35~50%에 이른다.
폐렴은 단순 감기나 기관지염과는 다르다. 감기나 기관지염은 상기도 혹은 하기도에 가벼운 염증이 생기는 질환이다. 대개는 증상이 가볍고, 대증치료를 하거나 자연적으로 호전되는 경우가 많다.
반면 폐렴은 세균, 바이러스 혹은 곰팡이 등의 병원체가 폐 조직에 염증을 일으키는 질환이다. 감기나 기관지염보다 증상이 더 심하고 항생제를 통한 치료가 필요하며, 심할 경우 입원 치료가 필요할 수 있다.
남녀노소 모두에게 발생하지만 특히 일교차가 큰 환절기와 기온이 떨어지는 겨울철에 발병이 잦다.
노인에게 폐렴이 특히 위험한 이유는 단순한 감염을 넘어 생명과 직결되는 전신 문제로 쉽게 이어지기 때문이다.
노인은 나이가 들수록 면역 반응이 약해져 폐렴균을 효과적으로 제거하지 못한다. 젊은 사람에게는 가벼운 폐렴도 노인에게는 중증 폐렴이나 패혈증으로 빠르게 악화해 며칠 만에 사망할 수도 있다.
폐렴은 증상이 전형적이지 않아 발견이 늦다. 노인 폐렴은 고열·기침이 뚜렷하지 않은 경우가 많다. 대신 갑작스러운 기력 저하, 식욕 부진, 의식 혼탁, 섬망, 평소보다 숨이 가빠짐 같은 비전형적 증상으로 나타나 진단이 늦어진다.
폐렴은 기저질환자에게 합병증 위험을 높인다. 노인에게 흔한 심부전, 당뇨, 만성폐질환(COPD), 뇌졸중 후유증은 폐렴 발생 시 서로 악화한다.
그 결과 호흡부전, 심부전 악화, 패혈증으로 이어질 위험이 크다.
늙으면 폐의 탄력이 줄어 산소 교환 능력이 떨어진다. 한 번 폐렴을 앓으면 이전의 체력으로 회복하지 못하고 와상 상태→근감소→장기 입원으로 이어질 수 있다.
실제로 폐렴은 흔히 ‘노인의 조용한 살인자’로 불린다. 폐렴은 노인에서 감염성 질환 중 사망률 1위다. 전체 나이에서도 사망 원인 상위권에 속한다.
그래서 예방이 무엇보다 중요하다. 폐렴구균 백신이나 독감 백신을 접종하고 감기 후 기침·호흡 변화가 지속되면 즉시 병원에 가야 한다. 치료의 기본은 조기에 적절한 항생제를 투여하는 것이다. 치료 기간은 보통 5~14일이며 환자의 중증도와 원인균에 따라 조절된다.
