-
피로감 지속·체중 증가…갑상선기능저하증 의심해야
한국헬스경제신문 박건 기자 | 이상하게 평소와 달리 피로감이 매일 지속된다. 평소처럼 먹는데도 점점 체중이 늘어난다. 이런 현상이 나타나면 단순한 노화나 스트레스 때문이라고 생각하기 쉽다. 하지만 갑상선기능저하증을 의심해볼 필요가 있다. 건강보험심사평가원에 따르면 갑상선기능저하증 환자는 2020년 60만8000여 명에서 2023년 68만4000여 명으로 꾸준히 늘고 있다. 갑상선은 에너지 대사와 체온 조절 등 인체의 기본 기능을 조절하는 기관이다. 목 앞쪽 아래에 위치한 나비 모양의 장기다. 이곳에서 분비되는 갑상선 호르몬(T3·T4)은 몸의 대사 속도와 에너지 균형을 조절하는 핵심 역할을 한다. 갑상선기능저하증은 갑상선호르몬이 충분히 만들어지지 않아 몸의 대사 속도가 전반적으로 느려지는 질환이다. 중장년층과 여성에게 비교적 흔하다. 주요 증상은 바로 피로감과 무기력감, 그리고 체중증가다. 추위도 잘 타게 되고 변비나 소화 이상, 피부 건조, 탈모, 얼굴과 손발의 부종, 쉰 목소리, 우울감, 기억력·집중력 저하 등 증상도 있다. 증상이 서서히 나타나 노화 증상으로 오인되기 쉽다. 가장 흔한 원인은 면역체계 이상으로 갑상선 조직이 손상돼 기능이 떨어지는 자가면
-
당뇨병 전 단계가 중요하다...진행을 막기 위해서는?
한국헬스경제신문 윤해영 기자 | 2022년 기준 국내 30세 이상 당뇨병 환자는 약 506만 명(유병률 14.8%)이다. 당뇨병 위험군에 속하는 당뇨병 전 단계 인구는 약 1400만 명(유병률 41.1%)으로 추산된다. 매년 당뇨병 전 단계 환자의 약 8%가 당뇨병으로 진행한다. 관리가 미흡하면 3~5년 이내 약 25%가 당뇨병으로 이행된다는 보고도 있다. 당뇨병 전 단계는 관리 여부에 따라 당뇨병으로 이어질 수도, 충분히 예방할 수도 있는 단계다. 문제는 상당수 환자가 자신의 상태를 모르거나 알아도 심각하게 받아들이지 않는다는 점이다. 증상이 뚜렷하게 나타나지 않아 혈당이 크게 오르거나 합병증이 발생한 뒤에야 병원을 찾는 사례도 적지 않다. 당뇨병 전 단계는 생활습관을 바꾸면 정상으로 되돌릴 수 있는 마지막 기회다. 핵심은 체중·식사·운동·수면을 동시에 관리하는 것이다. 이중 식습관 관리가 가장 중요하다. 혈당 급상승을 억제하기 위해서다. 흰쌀·밀가루·설탕 대신 현미·잡곡·통밀을 먹고 식사는 채소→단백질→탄수화물 순서로 하면 포만감이 빨리 찾아와 자연스럽게 식사량이 줄고 탄수화물 흡수 속도가 느려져 혈당 상승이 완만해진다. 무엇보다 생선, 두부, 콩, 달걀
-
고령층 84%가 연명치료 거부했지만...실제 중단은 17%뿐
한국헬스경제신문 한건수 기자 | 2018년 연명의료결정법이 시행된 이후 많은 사람들이 연명치료를 거부하겠다는 '연명의료사전의향서'를 쓰고 있다. 그런데 그들의 희망은 현실에서 그대로 이뤄질까. 본인의 의사와 의료 현장의 괴리는 상당히 큰 것으로 드러났다. 연명치료를 거부하고 싶어도 의료현장에서는 환자 희망이 실현되기가 상당히 어려운 것이다. 한국은행 경제연구원과 국민건강보험공단 건강보험연구원이 최근 발표한 ‘BOK 이슈노트: 연명의료, 누구의 선택인가’ 보고서는 이런 문제를 파고들었다. 이 보고서에 따르면 2023년 기준 65세 이상의 84.1%는 연명의료 거부 의향을 밝혔다. 그러나 실제 65세 이상 사망자 중 연명의료를 유보하거나 중단한 비율은 16.7%에 불과했다. 오히려 연명의료를 받는 환자 수는 2013년부터 2023년까지 연평균 6.4%씩이나 증가했다. 환자의 자기결정권이 제대로 행사되지 못하고 불필요한 고통과 막대한 경제적 부담만 가중되고 있는 것이다. 왜 그럴까. 연명의료 결정 과정에서의 제도적·구조적 제약과 까다로운 절차 때문인 것으로 분석됐다. 현행법상 연명의료 중단을 위해서는 주치의와 다른 한 명의 의사가 ‘임종기(회생 불가능하고 사망이
-
휴온스, 비만 치료제 ‘HUC2-676’ 국내 임상 1상 IND 승인
한국헬스경제신문 김혁 기자 | ㈜휴온스(대표 송수영)는 식품의약품안전처로부터 비만치료제 ‘HUC2-676’의 국내 임상 1상 시험계획(IND)을 승인받았다고 17일 밝혔다. HUC2-676는 노보노디스크제약이 개발해 국내에 출시한 ‘삭센다펜주(성분명 리라글루티드)’를 저분자 합성 펩타이드로 개발한 제품이다. 금번 승인 받은 임상시험은 건강한 성인을 대상으로 HUC2-676과 ‘삭센다’를 각각 투여한 후, 약동학적 특성(PK)을 비교해 동등성을 입증하는 것이 목표다. 휴온스는 2년 전부터 회사의 중점 프로젝트로 미래 성장동력 확보를 위해 GLP-1 수용체 작용제(이하 GLP-1RA) 기반의 비만치료제 개발을 추진해 왔다. 휴온스는 카트리지 타입형 국소마취제인 리도카인 생산기계 일체를 보유하고 있다. 이에 삭센다, 위고비 등 최근 비만 치료제로 사용되는 카트리지 타입 제품 생산에 특화된 생산 기술과 기계를 갖추고 있어 GLP-1RA 합성 펩타이드 개발에 이점이 있을 것으로 보고 있다. GLP-1RA 기반의 비만치료제는 최근 건강관리 및 다이어트에 대한 관심과 함께 대세로 떠오르고 있다. 특히, 기존 당뇨치료제로 쓰이던 ‘리라글루티드 제제’가 비만치료제로 적응증을
-
‘약은 있는데 쓸 수 없던’ 희귀질환 환자… 사전승인 심사, 48시간 내로 단축된다
한국헬스경제신문 유재민 기자 | 희귀질환으로 진단받고도 사전승인 심사 절차를 기다리느라 치료 시기를 놓치는 불합리한 제도가 국민권익위원회의 제도개선 권고로 바뀔 전망이다. 생명이 위태로운 초응급 희귀질환 환자에 대해서는 앞으로 사전승인 심사 결과를 최대 48시간 이내에 통보하는 신속 심사 체계가 도입된다. 국민권익위원회는 최근 치료제가 있음에도 행정 절차 지연으로 환자의 생명을 위협해 온 ‘사전승인 심사제도’에 대해 심사 기간을 획기적으로 단축하는 개선 방안을 마련해 보건복지부와 건강보험심사평가원 등 관계기관에 권고했다고 17일 밝혔다. 이번 개선은 제도 운영의 중심을 ‘재정 관리’에서 ‘생명 보호’로 전환했다는 점에서 의미가 크다는 평가가 나온다. 사전승인 심사제도는 고가 약물의 적정 사용을 위해 1992년 도입됐지만, 비정형 용혈성 요독증후군(aHUS)처럼 발병 후 2~3일 안에 치료제를 투여하지 않으면 신장 투석이나 사망으로 이어질 수 있는 초응급 희귀질환 환자들에게는 오히려 생명을 가로막는 장벽으로 작용해 왔다. 통상 2주 이상 소요되는 심사 기간 동안 “약은 병원에 있는데 심사가 끝나지 않아 쓰지 못한다”는 사례가 반복됐다. 권익위는 이러한 구조적
-
GC녹십자, ‘뉴라펙’ 췌장암 mFOLFIRINOX 요법서 호중구감소증 1차 예방 효과 입증
한국헬스경제신문 유재민 기자 | GC녹십자(대표 허은철)는 호중구감소증1) 치료제 ‘뉴라펙’의 췌장암 환자 대상 연구자 주도 다기관 임상 시험 결과가 국제학술지 ‘eClinicalMedicine’에 게재됐다고 16일 밝혔다. 뉴라펙(성분명: 페그테오그라스팀)은 장기 지속형 G-CSF2) 제제로, GC녹십자가 자체 개발한 2세대 호중구감소증 치료제다. 이 치료제는 항암요법 후 발생하는 중증 호중구감소증 및 감염성 합병증 등 부작용을 예방하는 데 사용된다. 이번 연구는 연세암병원 이충근 교수와 최혜진 교수 연구팀이 주도했으며, 절제 불가능한 국소 진행성 또는 전이성 췌장암 환자 77명을 무작위로 배정해 뉴라펙 투여군(38명)과 미투여 대조군(39명)을 비교했다. 연구진은 mFOLFIRINOX3) 항암요법 환자에서 뉴라펙 1차 예방 요법의 효과와 안전성을 평가했다. 연구 결과, 1차 평가 변수인 ‘항암요법 첫 8주기 동안 중증 호중구감소증 발생률’이 뉴라펙 투여군에서 2.6%(1명)에 불과해 대조군의 38.5%(15명) 대비 큰 폭으로 줄어들었다(P=0.0001). 특히, 감염 위험이 높은 발열성 호중구감소증은 뉴라펙 투여군에서 단 한 건도 발생하지 않았으며, 대
-
대원제약 상처치료밴드 큐어반, ‘에버킥 챔피언십 유소년 축구대회‘ 후원
한국헬스경제신문 김혁 기자 | 대원제약(대표 백승열)의 상처치료 전문 밴드 브랜드 ‘큐어반’이 축구기반 스포츠 기업 ‘플랫폼스포츠’가 주최하는 ‘에버킥 챔피언십 유소년 축구대회’를 후원했다고 15일 밝혔다. 이번 대회는 충청남도 아산시에 위치한 선문대학교 아산캠퍼스에서 개최됐으며, 약 350명의 유소년 축구 꿈나무들이 참가해 열띤 경기를 펼쳤다. 대원제약은 이번 대회의 성공적인 개최와 유소년 선수들의 안전한 경기 운영을 위해 자사 제품 4종을 후원 물품으로 협찬했다. 격렬한 움직임에도 잘 떨어지지 않는 ▲큐어반 F(일반형) 400개를 비롯해, ▲큐어반 H 스팟(30개) ▲큐어반 H 커팅(15개) ▲큐어반 폼 잘라(5개) 등 다양한 상처 상황에 대응할 수 있는 제품들을 지원해 선수들과 관계자들의 편의를 높였다. 대원제약은 경기가 진행되는 동안 행사장 내에 큐어반 브랜드 부스를 마련하고, 참가 선수들과 가족들이 큐어반 제품을 직접 체험할 수 있는 다채로운 참여형 이벤트를 진행했다. 특히, 격렬한 스포츠 활동 중 발생할 수 있는 부상에 대비해 ‘상처별 밴드 선택 가이드’를 설명하는 교육 프로그램을 운영해 눈길을 끌었다. 현장에서는 찰과상, 베임, 화상 등 다양한
-
휴메딕스, ‘엘라비에 멜라리턴 기미쿠션 홀리데이 에디션’ 홈쇼핑 판매
한국헬스경제신문 김 기자 | 휴메딕스(대표 강민종)는 롯데홈쇼핑 최유라쇼 라이브 방송을 통해 ‘엘라비에 멜라리턴 쿠션 홀리데이 에디션’을 진행한다고 11일 밝혔다. 금번 라이브 방송은 롯데홈쇼핑에서 11일 밤 9시 45분부터 65분간 진행된다. ‘엘라비에 멜라리턴 쿠션 홀리데이 에디션’은 엘라비에 멜라리턴 쿠션 본품 2개와 리필 4개, 홀리데이 스페셜 에디션 본품 1개와 패딩 파우치 등 역대 최다 구성으로 판매한다. 방송 한정 가격 11만9000원으로 정가 대비 54% 할인된 가격에 구입할 수 있다. ‘멜라 리턴 쿠션’은 62% 스킨케어 성분 함유로 얇고 균일한 커버력이 특징인 제품이다. 건조함 없이 촉촉한 사용감이 강점이다. 다수의 인체적용시험을 통해 육안으로 보이는 ‘겉 기미’는 물론 속에서 올라오는 ‘깊은 속기미’ 개선에 도움을 주는 임상도 완료해 기미 개선 효과를 기대할 수 있다. △모공 △안티다크닝 △밀착 지속력 △결점 완화 △다각도 3D 광채 등 150시간 지속력에 도움을 주는 것을 확인했다. 또한, SPF 50, PA++++의 뛰어난 자외선 차단 효과로 기미 예방과 피부 보호에 도움을 준다. 멜라 리턴 기미쿠션에는 휴메딕스의 특허 기술을 활용한
-
전남도·목포대·순천대, 대학통합·국립의대 신설 업무협약
한국헬스경제신문 박건 기자 | 전남도는 10일 국립목포대·국립순천대와 함께 대학통합, 국립의대·대학병원 신설을 위한 업무협약(MOU)을 맺었다. 전남 국립의대 신설은 이번 정부의 국정과제로 확정된 사안이다. 주요 협약 내용은 ▲대등한 통합을 전제로 한 캠퍼스 총장 법적 지위 확보 공동 대응 ▲ 통합대학교 대학본부와 의과대학을 순천·목포 두 캠퍼스에 분리 배치 ▲전남 동·서부권 각각 국립대병원 설립을 위한 정부 재원 확보와 전남도의 행·재정적 지원 ▲정부 국정과제 이행 절차에 선제적으로 대응하기 위한 기본계획 수립 용역 조속 추진 등이다. 협약은 지난해 두 대학이 통합대학교 국립 의과대학 추진에 합의한 이후 통합대학 교명 선정을 추진하고, 교육부 통폐합 심사위원회 심사를 거치는 등 본격적인 대학통합 절차를 뒷받침하기 위해 마련됐다. 김영록 전남지사는 “교육부 통폐합 심사위원회 대응 등 그동안의 노고에 깊이 감사드린다”며 “대학통합과 의대 정원 배정이 차질 없이 마무리되도록 끝까지 최선을 다해주길 바란다”고 당부했다.
-
노로바이러스 환자, 작년보다 59%나 급증
한국헬스경제신문 한건수 기자 | 노로바이러스는 겨울철에 주로 발생한다. 노로바이러스에 오염된 물이나 혹은 어패류 등 을 먹은 경우 주로 감염된다. 환자 접촉을 통한 사람 간 전파도 가능하다. 노로바이러스에 감염되면 12∼48시간 안에 구토, 설사 등의 증상이 나타난다. 사람에 따라 복통, 오한, 발열도 겪는다. 노로바이러스 감염증 환자가 영유아를 중심으로 작년 이맘때보다 60% 가까이 늘어난 것으로 집계됐다. 8일 질병관리청이 병원급 의료기관 210곳에 대해 표본감시한 결과, 올해 48주차(11월 23∼29일) 노로바이러스 환자는 모두 127명으로, 작년 같은 때(80명)보다 58.8%나 증가했다. 45주차(70명) 이후 4주 연속 증가세를 이어오고 있다. 48주차 기준 환자를 연령별로 보면 0∼6세가 38명으로 전체의 29.9%를 차지했다. 7∼18세 환자도 33명(26%)이나 됐다. 국내에서 노로바이러스는 겨울철부터 이듬해 초봄(11월∼3월)까지 주로 발생한다. 노로바이러스는 바이러스 유전자형이 다양하고 감염 후 면역을 유지하는 기간이 최장 18개월 정도로 짧아 과거에 걸렸더라도 재감염될 수 있다. 감염을 막으려면 손 소독제를 쓰기보다는 비누를 사용해 3
-
노인이 되면 ‘수면 질’이 문제다
한국헬스경제신문 김기석 기자 | 나이를 먹어갈수록 수면장애가 많아진다. 60세 이상 노인의 30% 이상이 불면증을 갖고 있고 20%는 주간졸림증이 있는 것으로 알려졌다. 수면장애는 삶의 질과 건강에 큰 영향을 주므로 적절한 관리가 매우 중요하다. 노인 수면장애는 단순히 나이가 들어 잠이 줄어드는 현상을 넘어, 신체적·정신적 건강과 직결된다. 노년기에는 수면 구조가 변하여 깊은 잠(서파 수면)이 줄어들고 자다가 자주 깨는 분절 수면이 늘어나는 특징이 있다. 또 잠들기까지 시간이 오래 걸리고, 밤중에 깨면 다시 잠들기 어렵다. 퇴행성 질환, 통증, 우울감 등이 주요 원인이다. 노인이 되면 새벽에 깨는 일이 많아지는데 멜라토닌 분비 감소로 초저녁에 잠이 들기 때문이다. 이는 생체 시계가 앞당겨져 저녁형이 아침형으로 변하는 ‘일주기 리듬 수면장애’로 분류된다. 사람의 생체리듬은 햇빛이 중요한 동기 요인으로 작용하는데, 노인은 실내 생활이 많아 햇빛 노출이 적어지고 생체 시계를 재시동할 수 있는 광 자극이 약해진다. 코골이와 함께 호흡이 반복적으로 멈추는 수면무호흡증도 노인에게서 많이 나타난다. 10초 이상 호흡이 멈추는 상태가 반복되며 신체에 산소 부족과 여러 합병
-
“잠옷 하루만 입어도 바이러스 위험”
한국헬스경제신문 김기석 기자 | 잠옷은 얼마나 자주 갈아입어야 할까. 영국 매체 데일리메일 최근 보도에 따르면 프림로즈 프리스톤 영국 레스터대 임상미생물학 부교수는 “가능하다면 잠옷은 매일 갈아입는 것이 가장 좋다”고 말했다. 그는 “잠들기 직전 샤워를 하고 땀을 많이 흘리지 않았다면 최대 3~4회 정도는 입을 수 있다”고 했다. 프리스톤 교수는 잠옷을 갈아입어야 하는 이유로 바이러스 감염을 꼽았다. 사람은 평균적으로 매일 밤 약 0.284L의 땀을 흘리며, 이 땀이 잠옷에 스며들면 박테리아와 곰팡이, 바이러스가 번식하기 좋은 환경을 만든다는 것이다. 이 미생물들은 피부 각질과 땀, 피지를 먹이로 삼아 체취를 유발하는 물질을 생성한다. 프리스톤 교수는 “잠옷 차림으로 식사할 경우 음식물 입자가 잠옷에 남아 박테리아 활동을 촉진할 수 있다”며 “잠옷을 입은 채 방귀를 뀌는 것도 소량의 분비물이 묻어 냄새뿐 아니라 감염 위험이 커질 수 있다”라고 지적했다. 다른 연구에서도 더러운 잠옷과 침구가 건강에 심각한 영향을 주는 것으로 확인된 바 있다. 런던 위생열대의학대 연구진은 잠옷과 침구를 통해 사람 간 감염이 퍼질 수 있으며, 특히 노로바이러스 등 배설물 관련 감
-
근육은 노년기의 ‘저장된 생명력’...근력운동 하세요
한국헬스경제신문 김기석 기자 | 노년에 접어들어 시간이 많아지면서 운동을 시작하는 사람들이 적지 않다. 전문가들은 노년기 운동에서 걷기 같은 유산소 운동도 중요하지만 근력운동이 필수라는 점을 강조한다. 근육은 건강한 노년 생활을 위한 기본 조건이다. 근육은 노년기의 ‘저장된 생명력’과 같다. 하버드대 의과대 연구에 따르면, 근력 운동을 꾸준히 하면 모든 원인에 의한 사망률이 최대 46% 감소한다고 한다. 특히 하체 근육은 혈액순환을 돕고, 낙상이나 골절 위험을 낮추는 데 중요한 역할을 한다. 스쿼트나 런지 같은 하체 운동을 하루 1~2세트 하거나, 하루 약 60계단 정도를 오르는 것만으로도 도움이 된다. 노인에게 근력운동이 중요한 이유는 단순히 “힘을 기르기 위해서”가 아니다. 60세 이후에는 근육량이 매년 1~2%씩 감소한다. 노인 사고 사망 원인의 큰 비중은 낙상이다. 하체·코어 근력이 약해지면 균형을 상실해 작은 미끄러짐도 큰 사고로 이어질 수 있다. 근력운동은 균형 감각을 향상시키고 반사 신경을 유지시켜 낙상 위험을 줄여준다. 근력운동은 또 골다공증 예방 및 뼈 건강 유지에 좋다. 근육이 수축할 때 뼈에 기계적 자극이 가해져 골밀도가 유지된다. 근육은
-
건강생활실천지원금제 손질… 고혈압·당뇨 관리형은 ‘진료비 자동 차감’
한국헬스경제신문 김혁 기자 | 보건복지부(장관 정은경)와 국민건강보험공단(이사장 정기석)이 고혈압·당뇨병 환자와 건강위험군을 대상으로 운영 중인 건강생활실천지원금제 시범사업을 개선하고 참여 대상을 확대한다고 14일 밝혔다. 만성질환자의 자기관리 참여를 높이고, 건강위험군의 생활습관 개선을 보다 적극적으로 유도하기 위한 조치다. 건강생활실천지원금제는 걷기, 교육·상담 참여 등 건강생활 실천에 따라 포인트를 적립하고 이를 현금처럼 사용할 수 있도록 한 제도다. 고혈압·당뇨병 환자 가운데 일차의료 만성질환관리 사업에 참여하는 환자는 ‘관리형’, 일반건강검진 수검자 중 비만·혈압·혈당 기준을 충족하는 건강위험군은 ‘예방형’으로 구분해 운영되고 있다. 이번 개선의 핵심은 관리형 참여자의 포인트 사용 편의성 강화다. 그동안 고령층을 중심으로 건강실천카드를 별도로 발급받아야 진료비 결제가 가능해 절차가 복잡하다는 지적이 제기돼 왔다. 이에 따라 복지부와 건보공단은 오는 12월 15일부터 관리형 참여자가 일차의료 만성질환관리 사업 참여의원에서 진료비를 결제할 경우, 별도 카드 발급 없이 보유 포인트 범위 내에서 자동 차감 결제가 가능하도록 시스템을 개선했다. 기존 카드 방
-
목암생명과학연구소 세계 최고 AI 학회 '뉴립스'서 논문 등재
한국헬스경제신문 유재민 기자 | 목암생명과학연구소(소장 신현진, 이하 목암연구소)는 최근 세계 최고 권위의 인공지능 학회인 신경정보처리시스템학회(뉴립스, NeurIPS 2025 Reliable ML from Unreliable Data workshop)에 ‘라벨 시프트(label shift)’에 최적화된 정합 예측(conformal prediction) 프레임워크’을 주제로 한 논문이 등재됐다고 11일 밝혔다 이번 연구는 AI 기반 신약개발에 있어 새로운 정합 예측(Conformal Prediction) 기술을 통해 AI의 불확실성까지 예측하는 모델을 소개하는 내용이다. 신약개발은 막대한 비용과 높은 실패율로 오랫동안 난제로 꼽혀왔다. 특히 후보물질의 용해도, 효능, 독성 등 분자 특성을 정확히 예측하는 과정은 임상 진입 가능성을 결정짓는 핵심 단계다. 최근 인공지능(AI)이 이 과정을 가속화하고 있지만, 실험 환경이 학습 데이터와 다를 경우 예측 성능이 떨어지는 ‘분포 변화(distribution shift)’ 문제가 여전히 신뢰성 확보의 걸림돌로 남아 있다. 또한 기존의 AI 모델은 단일값 만을 제시해, 불확실성이 큰 실험 설계 단계에서 의사결정에 제한이
-
보건복지부, 총 457명의 장애인에게 지역사회 자립지원
한국헬스경제신문 김혁 기자 | 보건복지부(장관 정은경)는 한국장애인개발원(원장 이경혜)과 함께 11일 오전 10시 30분 서울 프레지던트호텔에서 「2025년 장애인 지역사회 자립지원 시범사업(이하 ‘시범사업’) 성과공유회」를 개최했다. 정부는 장애인이 주거를 선택할 수 있는 권리를 보장하고, 지역사회에서 자립할 수 있는 환경을 마련하기 위해 2022년부터 시범사업을 추진하고 있다. 2025년 3월 「장애인의 지역사회 자립 및 주거 전환 지원에 관한 법률(이하 ‘장애인지역사회자립법’)」 제정(2027년 3월 시행)으로, 자립 희망 장애인이 지역사회에서 자립하여 우리의 이웃으로 함께 살아갈 수 있는 여건을 조성하고, 자립지원 시범사업의 본사업 전환을 위한 법적 기반을 마련하였다. 이날 행사는 시범사업에 참여하는 지방자치단체와 관계기관(한국토지주택공사 등) 등이 한자리에 모여 시범사업의 추진상황을 공유하고 향후 추진 방향에 대하여 토론하는 시간을 가진다. 성과공유회 1부에서는 시범사업 추진에 기여한 바가 큰 지자체 및 관계기관 15곳에 보건복지부 장관 표창을 수여하고, 지난 11월에 진행된 장애인 지역사회 자립지원 영상공모전에서 대상으로 선정된 사회복지법인 애지람
-
온코닉테라퓨틱스, JP모건 헬스케어 컨퍼런스 2년 연속 초청
한국헬스경제신문 유재민 기자 | 온코닉테라퓨틱스(대표 김존) 는 오는 2026년 1월 12일부터 15일(현지 시각) 미국 샌프란시스코에서 열리는 ‘2026 JP모건 헬스케어 컨퍼런스’에 2년 연속 공식 초청받아 참가한다고 11일 밝혔다. JP모건 헬스케어 컨퍼런스는 매년 1월 샌프란시스코 웨스틴 세인트 프란시스(the Westin St. Francis) 호텔에서 개최되는 업계 최대 규모의 헬스케어 투자 행사로, 전 세계 주요 빅파마와 바이오 기업, 글로벌 투자자들이 대거 참여한다. 이 행사의 공식 초청은 글로벌 무대에서 기업의 기술력과 성장성을 인정받는 일종의 ‘인증 효과’를 갖는다. 특히 JP모건으로부터 초청받은 기업만 행사장 입장이 가능한 ‘익스클루시브’ 행사인 만큼, 이번 연속 초청은 회사의 기술 경쟁력에 대한 해외 시장의 신뢰를 다시 확인한 것으로 평가된다. 온코닉테라퓨틱스의 연속 초청 배경에는 차세대 합성치사 이중표적 항암신약 후보 ‘네수파립’의 연구·임상 성과가 결정적으로 작용한 것으로 보인다. 온코닉테라퓨틱스는 2021년 ASCO(미국임상종양학회)에서 다암종 임상 1상 데이터를 처음 공개한 이후, AACR(미국암연구학회), ASCO 등 주요 국제
-
건보공단, 부당청구 요양기관 제보자에게 총 7천5백만 원 포상금 지급
한국헬스경제신문 김혁 기자 | 국민건강보험공단(이사장 정기석)은 지난 3일 ‘2025년도 제2차 건강보험 신고 포상심의위원회’를 열고, 요양급여비용을 거짓·부당하게 청구한 요양기관 9개소와 증도용(증 대여) 관련 1건을 제보한 신고자 총 11명에게 포상금 7천5백만 원을 지급하기로 의결했다고 밝혔다. 이번 제보를 통해 적발된 금액은 총 5억5천만 원에 이르며, 이날 지급이 결정된 포상금 중 최고금액은 2천1백만 원이다. 해당 건은 타 기관 소속 전공의가 진료했음에도 병원 소속 의사가 진료한 것처럼 꾸며 요양급여비용을 부당 청구한 사례로, 신고를 통해 적발됐다. 건강보험 신고 포상금 제도는 거짓·부당청구로 인한 건강보험 재정 누수를 방지하기 위해 2005년 도입된 이후 지속적으로 운영되고 있다. 요양기관 관련 제보자의 경우 최대 20억 원, 일반 신고인은 최대 5백만 원까지 포상금을 받을 수 있다. 부당청구 신고는 국민건강보험공단 누리집(www.nhis.or.kr)이나 모바일 앱 ‘The건강보험’의 ‘재정지킴이 제안/신고센터’를 통해 가능하며, 방문 또는 우편 신고도 받을 수 있다. 공단은 신고인의 신분을 공익신고자보호법에 따라 철저히 보호하고 있다고 강조했다
-
하나금융그룹, 독거 어르신 위한 '주거환경개선 봉사활동' 실시
한국헬스경제신문 유재민 기자 | 하나금융그룹(회장 함영주)은 지난 6일 혹한기에 취약한 독거 어르신의 따뜻한 겨울나기를 지원하는 「주거환경개선 봉사활동」을 실시했다고 8일 밝혔다. 이번 봉사활동은 겨울철 한파를 대비해 노후주택의 취약한 환경에서 홀로 거주하는 어르신들에게 따뜻하고 안전한 주거 환경을 제공하기 위해 진행됐다. 하나금융그룹 임직원과 가족들의 자발적인 참여로 구성된 ‘하나사랑봉사단’은 건축·시공 전문가들과 함께 서울 강북구에 거주하는 독거 어르신 십여 가구를 직접 방문해 노후된 주거 공간 개선 작업을 함께했다. 먼저, 출입문과 창문 틈새에 단열 에어캡과 문풍지를 부착해 냉기 유입을 차단하고, 전기장판․전기난로 등 겨울철 온열기구 사용에 따른 과열이나 합선 등의 화재 사고를 방지하기 위해 콘센트 단자와 전등 및 스위치 등을 교체했다. 이와 함께, 오래된 벽지와 장판 등의 교체 작업도 병행해 어르신들이 보다 쾌적한 주거 환경에서 안전하게 생활할 수 있도록 지원했다. 또한, 강북구 삼양동에 위치한 구세군 강북종합사회복지관을 방문해 독거 어르신들과 장애인 등 취약계층이 보다 깨끗한 환경에서 시설을 이용할 수 있도록 노후 환경 개선을 위한 페인트 작업과 내
-
1
[건강상식 허와 실] <47> 검은콩 먹으면 검은 머리가 난다?
-
2
[궁금한 건강] <70>귓불 주름 ‘프랭크 징후’, 심장병 전초증상?
-
3
한국 최초 ‘여자프로야구선수’ 4명 탄생...미국 진출
-
4
[궁금한 건강] <74> 러닝머신 몇 분 타야 체중 감소 효과?
-
5
[궁금한 건강] <72>드립커피가 몸에 더 좋을까
-
6
누리호 발사로 관심 끈 ‘우주 제약’…미세중력서 신약 만든다
-
7
아동·청소년 대상 ‘친족 성폭력’ 공소시효 폐지
-
8
“손주 돌보는 할머니가 노쇠 위험 22% 낮다”
-
9
고령층 84%가 연명치료 거부했지만...실제 중단은 17%뿐
-
10
노인 인구 1천만 넘어섰다...‘1인 가구’는 36%
-
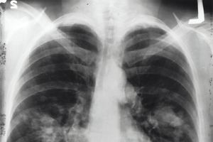
겨울철 복병 ‘폐렴’...‘노인의조용한 살인자’
한국헬스경제신문 박건 기자 | 면역력이 약해진 만성 질환자와 노년층에게 가장 위험한 질환은 무엇일까. 폐렴이다. 면역 기능이 떨어진 고령층이나 심혈관·당뇨·신장질환 등 기저질환을 앓는 노년층에게는 생명을 위협하는 합병증을 동반할 가능성이 크게 높아지기 때문이다. 초고령 사회에 진입한 우리나라에서는 그 위험성이 더욱 커질 것으로 우려된다. 건강보험심사평가원에 따르면 2024년 폐렴으로 진료받은 환자는 약 298만 명으로 전년(약 111만 명) 대비 2.7배 급증했다. 코로나19 유행기에는 감소 추세를 보였으나 팬데믹 이후 오히려 환자 규모가 증가했다. 2024년에는 마이코플라즈마 폐렴이 확산하면서 질병관리청이 유행주의보를 발령하기도 했다. 지난해 국내 사망원인 중 가장 높은 비중을 차지한 3대 질환은 암, 심장질환, 폐렴이었다. 폐렴으로 입원한 65세 이상의 사망률은 5명 중 1명 정도로 매우 높다. 중환자실로 입원해야 하는 중증 폐렴은 사망률이 35~50%에 이른다. 폐렴은 단순 감기나 기관지염과는 다르다. 감기나 기관지염은 상기도 혹은 하기도에 가벼운 염증이 생기는 질환이다. 대개는 증상이 가볍고, 대증치료를 하거나 자연적으로 호전되는 경우가 많다. 반면
-
늙는 게 싫다면 ‘다크 초콜릿’ 드세요
한국헬스경제신문 윤해영 기자 | 다크 초콜릿이 노화억제에 좋다는 연구는 많다. 강력한 항산화 성분인 플라보노이드와 폴리페놀이 풍부하기 때문이다. 이것들은 노화를 촉진하는 활성산소를 제거해준다. 또 플라보노이드는 혈관을 이완시키고 혈류를 개선해 심장병·뇌졸중 위험을 줄여준다. 코코아 성분은 뇌 혈류 증가에 도움을 주고 세로토닌 분비를 촉진해 스트레스를 감소시키고 안정 효과를 준다. 다크 초콜릿 속 ‘테오브로민’이라는 성분이 생물학적 나이를 늦춰준다는 연구 결과가 나왔다. 생물학적 나이는 건강과 신체 기능을 반영하는 나이이며, 살아온 세월과는 차이가 있을 수 있다. 영국 킹스칼리지런던 연구팀은 두 개의 유럽 코호트에서 성인 1669명을 대상으로 혈중 테오브로민 수치와 생물학적 나이의 상관관계를 조사했다. 연구팀은 참가자들의 혈액 내 테오브로민 농도를 측정한 뒤 혈액 샘플에서 확인된 생물학적 노화 지표와 비교했다. 생물학적 나이는 DNA의 화학적 변화 분석과 염색체 끝의 ‘텔로미어’ 길이 추정을 통해 산출됐다. 연구 결과, 혈중 내 테오브로민 수치가 높을수록 실제 나이보다 생물학적 나이가 젊게 나타났다. 이는 테오브로민이 항노화 효과가 있음을 시사하며, 근본적으로
-
bhc, 캐나다 1호점 오픈 1주년… “현지 안착 넘어 가맹사업 본격 확대”
한국헬스경제신문 유재민 기자 | 다이닝브랜즈그룹의 치킨 브랜드 bhc(대표 송호섭)가 캐나다 1호점 오픈 1주년을 맞아 지난 11일(현지시간) 토론토 중심부의 복합 쇼핑몰 ‘더 웰(The Well)’에 위치한 1호점 매장에서 기념행사를 열고, 북미 시장에서의 본격적인 가맹사업 확대 계획을 밝혔다. 이번 행사는 지난 1년간 캐나다 시장에서의 성공적인 안착을 축하하고, 브랜드의 성장 가능성을 확인한 현지 파트너 및 관계자들과 함께 향후 비즈니스 확장의 방향성을 공유하는 자리로 마련됐다. 행사에는 남화연 다이닝브랜즈그룹 해외사업본부 전무를 비롯해 현지 예비 가맹 파트너사, 더 웰 몰 관계자, 현지 미디어 및 인플루언서 등 100여 명이 참석해 의미를 더했다. 이날 bhc는 캐나다 1호점의 지난 1년 운영 성과를 조명하며 북미 시장에서의 경쟁력을 강조했다. 지난해 10월 문을 연 bhc 캐나다 1호점은 오픈 1년 만에 누적 방문객 11만 명을 기록하며 지역 내 ‘K-푸드 핫플레이스’로 자리 잡았다. 특히, ‘뿌링클’, ‘맛초킹’ 등 시그니처 메뉴가 전체 매출의 37%를 견인하고 현지인의 입맛을 고려한 현지화 메뉴가 큰 인기를 얻는 등, bhc가 지향하는 ‘한국식 프
-
[궁금한 건강] <75>전기차에서는 ‘전자파’가 많이 나올까?
한국헬스경제신문 한건수 기자 | 항간에는 전기차에서 전자파가 많이 나와 몸에 해롭다는 말들이 돌아다닌다. 정말 그럴까. 지난 2일 한국교통안전공단 자동차안전연구원이 전기차의 전자파(EMF) 인체 노출량을 정밀 측정한 결과를 발표했다. 전기차와 내연기관차, 하이브리드차 총 17대를 국가표준 ‘KS C 3380’에 따라 같은 조건에서 동력기관별 평균 전자파 인체 노출지수를 측정했다. 결과는 전기차가 3.4%, 하이브리드차가 3.17%, 내연기관차가 2.23%였다. 전자파 인체 노출지수는 전자파 측정값과 기준값의 비율이다. 높을수록 인체에 악영향을 미친다. 자동차안전연구원은 “전기차에서 발생하는 전자파 측정값이 내연기관차보다 높지만, 국제 권고기준과 국내 법규인 전자파 인체 보호 기준상 안전 수준”이라며 “이는 생활제품과 비슷하거나 오히려 낮아 인체 안전성에 영향이 없다”고 했다. 생활제품의 전자파 인체 노출지수는 전신 안마 매트(11.5%), 전자레인지(9.77%), 노트북(3.27%) 등으로 전기차보다 높거나 비슷한 수준이다. 이 연구에서 차량 내 위치에 따라 전자파 노출량이 다를 수 있다는 사실도 밝혀졌다. 총 17대 중 13대의 차량에서 다른 좌석보다 1열
-
포스코이앤씨, ‘AI 레미콘 품질예측 및 생산자동화’ 기술개발..안전 품질 혁신 선도
한국헬스경제신문 유재민 기자 | 포스코이앤씨가 균일한 품질의 레미콘을 생산하는 ‘AI 기반 레미콘 품질예측 및 생산자동화 기술’을 개발했다고 7일 밝혔다. 레미콘은 생산자의 숙련도, 재료 특성, 기온 등 다양한 요인의 영향을 받아 법적 기준을 충족하더라도 균일한 품질을 지속적으로 확보하기 어려운 것이 업계의 어려움으로 꼽혀왔다. 포스코이앤씨는 ㈜SHLab과 함께 AI 분석으로 품질 변화를 실시간으로 확인하고 자동으로 조정하는 기술을 개발해 이러한 문제를 해결했다. 인공지능이 혼합 중인 레미콘의 영상을 분석해 반죽 상태를 판별하고, KS 기준 안에서 자동으로 배합 비율을 조정한다. 또 기존에는 타설 후 28일을 기다려야 알 수 있었던 압축강도를 혼합 상태와 배합 데이터 분석을 통해 미리 예측함으로써 품질의 불확실성을 크게 줄였다. 아울러 레미콘 차량 내부에 남아 있는 물의 양을 자동으로 확인해 강도 저하를 방지한다. 포스코이앤씨는 이러한 기술력을 인정받아 국토교통부 ‘2025 스마트건설챌린지’에서 최우수 혁신상을 수상했다. 포스코이앤씨 관계자는 “레미콘은 건축물의 안전을 좌우하는 중요한 자재이기 때문에 생산에서 현장 도착까지 모든 과정을 정밀하게 관리하고 있다
-
디에스제이(LIFELINE72), 2025 상표·디자인권展 동상 수상
한국헬스경제신문 유재민 기자 | 재난안전 토탈 솔루션 기업인 디에스제이 주식회사(브랜드명 LIFELINE72)가 재난안전 제품 및 브랜드 디자인 경쟁력을 인정받았다. 디에스제이 주식회사는 3일 서울 삼성동 코엑스에서 열린 「2025년도 상표·디자인권展」에서 동상을 수상했다고 밝혔다. 이번 행사는 특허청과 한국발명진흥회가 공동 주최하는 국내 최대 규모의 상표·디자인 전문 시상 행사로, 산업 현장에서 실질적 가치를 창출한 브랜드와 디자인을 대상으로 심사가 진행됐다. 디에스제이는 ‘생존을 지키는 72시간’이라는 브랜드 철학 아래, 재난 발생 직후 골든타임 동안 국민의 안전을 실질적으로 돕는 제품 기획과 디자인 정체성을 일관되게 구현한 점에서 높은 평가를 받으며 수상의 영예를 안았다. 특히 브랜드 심볼, 패키지 디자인, 제품 외관 설계에 이르기까지 ‘긴급 상황에서도 직관적으로 인식되고 즉시 활용 가능한 디자인’을 구현한 점이 평가위원단으로부터 주목을 받았다. 단순한 외관 디자인이 아닌, 재난 대응 효율을 높이는 기능 중심 디자인이라는 점에서 차별화된 경쟁력을 인정받았다는 평가다. 디에스제이는 ▲휴대용 비상조명등 ▲화재대피용 구조손수건 ▲자동차겸용 소화기 ▲생존배낭
-
시흥시, ‘제7차 미세먼지 계절관리제’ 시행… 내년 3월까지 집중관리
한국헬스경제신문 유재민 기자 | 시흥시(시장 임병택)에서는 미세먼지 감축을 위해 ‘제7차 미세먼지 계절관리제’를 올해 12월 1일부터 내년 3월 말까지 추진한다. ‘미세먼지 계절관리제’는 고농도 미세먼지 발생 빈도가 높은 12월부터 다음 해 3월까지 겨울철 미세먼지 배출 저감 활동과 시민건강 보호조치 등을 강화하고, 배출원을 집중해서 관리하는 제도다. 시는 지난 2019년부터 동절기마다 강화된 미세먼지 배출 저감 대책을 추진해 왔다. 계절관리제 기간에 시는 ▲배출가스 5등급 차량 운행 제한 ▲영농폐기물 불법소각 집중단속 ▲공회전 제한구역 내 공회전 단속 ▲공사장ㆍ사업장 비산먼지 집중관리 등 총 6개 분야 17개 이행과제를 중점적으로 추진해 배출원 단속을 강화할 예정이다. 우선, 수송 부문에서 배출가스 5등급 차량 운행을 제한하고, 배출가스 저감, 친환경 자동차 보급 지원, 운행 차량 배출가스(공회전) 수시 점검 등을 실시한다. 내년 3월까지 주말과 공휴일을 제외한 평일 오전 6시부터 오후 9시까지 배출가스 5등급 차량 운행을 제한하며, 위반 시 과태료 10만 원을 부과한다. 또한, 산업ㆍ발전 분야에서는 미세먼지 배출 감시 인력 등을 활용해 주요 사업장 대기오


















































