-
“비만하면 감염 사망 위험 70% 높아진다”
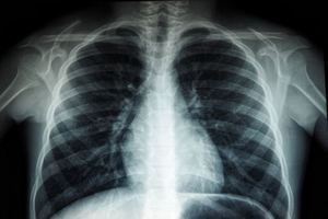
한국헬스경제신문 김기석 기자 | 비만한 사람은 정상 체중인 사람보다 감염으로 입원하거나 사망할 위험이 70% 더 높았고, 고도비만일 경우는 최대 3배까지 증가한다는 연구 결과가 나왔다. 영국 유니버시티칼리지런던(UCL) 연구진은 영국 바이오뱅크와 핀란드에서 진행된 대규모 건강 연구에 참여한 성인 54만여 명을 평균 13~14년간 추적 관찰했다. 연구 시작 당시 체질량지수(BMI)를 측정한 뒤, 이후 감염병으로 인한 입원과 사망 여부를 분석했다. 그 결과, BMI 30 이상인 비만군은 정상 체중군(BMI 18.5~24.9)에 비해 감염으로 중증으로 악화될 위험이 70% 높았다. 특히 BMI 40 이상인 고도비만군은 위험이 3배에 달했다. 이런 연관성은 독감, 코로나19, 폐렴, 위장관 감염, 요로감염, 하기도 감염 등 대부분의 주요 감염병에서 공통적으로 나타났다. 다만 결핵과 HIV(인간 면역결핍 바이러스) 감염에서는 비만과의 뚜렷한 관련성이 관찰되지 않았다. 연구진은 비만이 면역 기능을 떨어뜨리고, 만성 염증과 대사 이상을 유발해 감염에 대한 회복력을 약화시킬 수 있다고 설명했다. 연구를 이끈 미카 키비마키 UCL 교수는 “비만은 당뇨병이나 심혈관질환뿐 아니
-
의대 증원 발표에도…전공의·의대생들 “조용”
한국헬스경제신문 윤해영 기자 | 정부가 2년 만에 의과대학 정원 증원 재추진안을 발표하자 전공의와 의대생들은 우려를 표하면서도 휴학·사직 등 집단행동에 대해서는 신중한 모습을 보이고 있다. 정부는 10일 2027∼2031년까지 5년간 비 서울권 의과대학 정원을 연평균 668명 늘리기로 확정했다. 전공의들의 반발과 집단 사직을 불러왔던 지난 2025학년도 증원 규모의 3분의 1 수준으로 줄어들었다. 보건복지부는 의대 교육 여건을 감안한 결과라고 설명했다. 의료계에서는 현장 목소리를 외면한 결정이라는 불만이 있다. 대한전공의협의회(대전협)와 전국전공의노동조합 등 전공의단체는 의대 총정원 막바지 검토 단계에서부터 증원에 반대하는 입장이었다. 이들은 의대 증원의 근거가 된 의사인력수급추계위원회의 미래 의사 추계 결과에 대해 “데이터가 부정확하고 추계 기간이 너무 짧았다”며 “의대 증원을 멈추고 추계 기간을 연장하자”고 주장했었다. 그러나 복귀한 지 얼마 되지 않은 전공의와 의대생들은 수련과 학업으로 바쁜 데다가, 지난 1년 반 동안 ‘투쟁에 끝까지 참여한 젊은 의사들만 손해를 봤다’는 인식 등이 퍼짐에 따라 집단행동을 촉구하는 내부 목소리는 크지 않은 분위기다. 실
-
2027학년도 의대 490명 더뽑는다…5년간 연평균 668명 증원
한국헬스경제신문 박건 기자 | 의정갈등을 일으킨 의대 정원 증원 규모가 드디어 확정됐다. 정부는 2027학년도 의과대학 정원을 의정갈등 이전보다 490명 늘리고, 2028학년도부터 2년간은 613명, 2030학년도부터 2년간은 813명 확대하기로 했다. 5년간 연평균 668명 수준이다. 증원된 인력은 서울을 제외한 전국 32개 의대에서 지역의사전형을 적용해 선발한다. 교육부는 배정심의위원회를 꾸려 대학별로 제출한 증원 및 교육계획을 평가한 뒤 3월에 배정안을 발표하고, 대학의 이의신청 절차 등을 거쳐 4월에 최종 배정 결과를 확정한다. 보건복지부는 10일 정부서울청사에서 제7차 보건의료정책심의위원회(보정심)를 열어 비서울권 32개 의과대학의 의사인력 양성 규모를 2027년부터 2031년까지 연평균 668명 늘리기로 결정했다. 증원 인원 중 의정갈등 이전 정원(2024학년도 기준 3천58명)을 초과하는 부분은 모두 지역의사로 선발된다. 정부는 의학교육 현장의 부담을 완화하기 위하여 단계적으로 증원을 추진하기로 했다. 이에 따라 의대 정원은 2024년 정원을 기준으로 2027학년도에는 490명 증원된 3천548명, 2028학년도와 2029학년도에는 613명 증원
-
전남 30년 숙원 국립의대 설립 확정…정원 100명
한국헬스경제신문 한건수 기자 | 전남의 30년 숙원이었던 국립 의과대학 설립이 마침내 확정됐다. 보건복지부는 10일 보건의료정책심의위를 열고 내년도부터 적용될 의과대학 정원 증원 규모를 확정했다. 전남도는 “이 회의에서 전남 통합대학교 국립의과대학 정원 100명 배정이 2030년 개교를 전제로 확정됐다”고 밝혔다. 연도별로 보면 기존 의대는 2027년 490명을 시작으로 2028~2029년 613명씩 늘어난다. 지역 신설 의대의 입학 정원 증원을 2030년부터 시작해 2031년까지 이후 차기 의료인력 수급 추계가 이뤄지기 전까지 2년 동안 한 해 100명씩 배정키로 했다. 이는 전국에서 유일하게 의대가 없는 지역인 전남의 의대 신설을 전제로 정부가 공식적으로 정원을 배정한 것이다. 정부의 이 같은 발표에 전남도는 환영문을 내고 “이번 결정으로 전남도민의 30년 숙원이었던 국립의과대학 설립이 마침내 결실을 보게 됐다”며 “온 도민과 함께 환영한다”고 밝혔다. 이어 “전국에서 유일하게 의과대학이 없는 전남은 그동안 지역에서 일할 의사를 체계적으로 양성하는 데 구조적인 한계가 있었다”며 “이번 정원 배정으로 지역 의료를 책임지는 선순환 체계를 구축할 수 있는 기반
-
[질병의 역사와 의학] <8>의사의 상징 ‘청진기’는 어떻게 발전해왔나
한국헬스경제신문 박건 기자 | 의학의 역사에서 가장 상징적인 도구는 청진기(Stethoscope)다. 의사 그림을 그릴 때도 꼭 목에 건 청진기가 등장한다. 청진기가 발명되기 전, 의사들은 환자의 가슴이나 배에 직접 귀를 대고 소리를 듣는 직접 청진법을 사용했다. 하지만 이 방법은 환자와의 거리감이 너무 가깝고, 환자가 비만일 경우 소리가 잘 들리지 않는다는 단점이 있었다. 불편하고 비위생적이었고, 특히 여성 환자에게는 사회적으로도 문제가 많았다. 소리의 정확성도 의사의 경험에 크게 의존했다. 청진기는 당연히 진화했다. 최초의 청진기는 오늘날의 모습과는 사뭇 다른 원통형 나무 관이었다. 이후 청진기는 더 편리하고 정확한 소리를 듣기 위해 발전을 거듭했다. 청진기의 탄생은 사실 한 의사의 수줍음과 아이들의 놀이에서 시작되었다. 1816년 프랑스의 의사 르네 라에네크(René Laennec)는 젊은 여성 환자를 진료하던 중 민망함을 느꼈다. 그때 그는 동네 아이들이 긴 나무 막대기 양 끝에 귀를 대고 소리를 전달하며 노는 것을 떠올렸다. 라에네크는 종이를 돌돌 말아 한쪽은 환자의 가슴에, 다른 한쪽은 자신의 귀에 댔다. 결과는 만족이었다. 심장 소리가 귀를 직접
-
휴온스메디텍, ‘WHX Dubai 2026’ 참가…중동 공략
한국헬스경제신문 김혁 기자 | ㈜휴온스메디텍(대표 하창우)은 아랍에미리트 두바이에서 9일부터 12일까지 열리는 국제 헬스케어 전시회 ‘World Health Expo Dubai 2026(이하 WHX Dubai 2026)’에 참가했다고 9일 밝혔다. ‘WHX Dubai’는 중동·아프리카·유럽·아시아 지역의 의료기기 기업과 바이어, 의료 전문가들이 대거 참여하는 대표적인 글로벌 헬스케어 비즈니스 전시회로, 최신 의료기술과 산업 트렌드를 공유하는 장이다. 휴온스메디텍은 금번 전시회에서 비뇨기과, 에스테틱, 감염관리 분야의 주력 제품들을 대거 공개한다. 비뇨기과 분야에서는 국산 최초로 충격파 헤드와 초음파를 일직선(in-line) 구조로 결합한 체외충격파 쇄석기 ‘URO-UEMXD’ 를 선보인다. 이를 통해 병변 탐색과 쇄석을 더욱 직관적이고 정확하게 수행할 수 있다. 에스테틱 분야에서는 피부 약물정량 주입기 ‘더마샤인 프로(DermaShine Pro)’와 신제품 ‘더마샤인 듀오 RF(DermaShine Duo_RF)’를 소개한다. 더마샤인 프로는 정밀한 약물 주입 성능과 사용자 친화적 인터페이스를 갖춘 대표 제품이다. 휴온스메디텍은 제품 전시와 함께 정품 주사바늘
-
대원제약, ‘알부민 킹’ 이어 휴대성 높인 ‘알부민 킹 스틱’ 출시
한국헬스경제신문 유재민 기자 | 대원제약(대표 백승열)의 종합건강기능식품 브랜드 대원헬스가 신제품 ‘알부민 킹 스틱’을 출시했다고 2일 밝혔다. 이번에 출시된 ‘알부민 킹 스틱’은 대원헬스의 스테디셀러인 ‘알부민 킹’의 브랜드 가치를 이어가면서 성분 구성과 제형에는 변화를 주어 소비자의 선택 폭을 넓힌 제품이다. 신제품은 핵심 원료인 ‘알부민 복합물DW’에 집중하여 알부민 본연의 가치를 살렸으며, 여기에 시너지를 위한 특허 원료인 ‘골드키위 유산균 배양물’과 효소처리된 ‘로얄젤리 분말’을 최적의 비율로 배합하여 제품의 차별성을 확보했다. 특히 이번 제품은 현대인의 라이프스타일을 고려해 휴대성과 섭취 편의성을 대폭 강화한 점이 특징이다. 기존의 ‘알부민 킹’이 고농축 액상 바이알 형태로 프리미엄 이미지를 강조했다면, ‘알부민 킹 스틱’은 부피를 줄인 슬림한 액상 스틱 파우치 형태로 출시되어 가방이나 주머니에 간편하게 휴대할 수 있다. 이지컷(Easy-Cut) 방식을 적용해 물 없이도 언제 어디서나 간편하게 섭취할 수 있다. 대원제약은 이번 신제품 출시를 통해 알부민 제품 라인업을 다변화하고, 일상 속에서 가볍고 균형 있는 건강 관리를 원하는 소비자층을 적극 공
-
장애 여성, 유방암 사망 위험 최대 3배 높아
한국헬스경제신문 윤해영 기자 | 장애가 있는 여성 유방암 환자는 암을 더 늦게 발견하고, 수술을 받았더라도 유방암으로 인한 사망률이 최대 3배 높다는 연구 결과가 나왔다. 삼성서울병원 암환자삶의질연구소 신동욱·최혜림 교수, 숭실대 정보통계보험수리학과 한경도 교수 공동 연구팀은 이런 연구 결과를 국제학술지 ‘자마 네트워크 오픈’(JAMA Network Open) 최근호에 발표했다. 연구팀은 2012년부터 2019년 사이 유방암 진단을 받은 여성 15만412명을 분석했다. 이 중 장애가 있는 환자는 7443명이었다. 장애환자는 유방암 진단 단계부터 차이를 보였다. 중증 장애환자는 암이 이미 다른 장기로 전이된 상태에서 진단되는 비율이 6.3%로 비장애인(4.7%)보다 높았다. 비장애인 환자와 비교했을 때 중증 장애 환자가 수술을 받을 가능성도 19% 낮았다. 항암과 방사선 치료를 받을 가능성은 각각 34%, 35%였다. 특히 중증 뇌 병변 장애가 있는 환자는 항암 치료를 받을 확률이 비장애인의 42% 수준이었다. 연구팀은 빈번한 병원 방문이 필요한 항암·방사선 치료의 특성상 이동의 제약 등 현실적 요인이 작용했을 것으로 추산했다. 이러한 격차는 생존율 차이로 이
-
비응급 환자 옮길 때도 구급차에 응급구조사 포함 2인 타야 한다
한국헬스경제신문 한건수 기자 | 앞으로는 비응급 환자를 옮길 때도 구급차에 응급구조사 1명을 포함해 2명 이상의 인원이 타야 한다. 보건복지부는 6일 응급의료에 관한 법률 시행규칙 일부개정령안을 다음 달 18일까지 입법 예고했다. 개정안은 환자의 중증도나 응급 정도와 관계없이 종전과는 달리 응급구조사가 구급차에 항상 탑승해 안전하게 이송할 수 있도록 했다. 또 출동·처치 기록, 운행 기록 대장을 전산으로 작성·관리하도록 하고, 구급차 운행 기록을 구급차기록관리시스템(AiR)으로 실시간 전송하도록 의무화했다. 인건비 등을 고려해 이송 처치료도 인상했다. 의료기관이 운용하는 일반 구급차를 기준으로 했을 때 현행 시행규칙은 기본요금(이송 거리 10㎞ 이내)이 3만 원이었으나 앞으로 4만 원으로 오른다. 일반 구급차에 의사, 간호사 또는 응급구조사가 탑승한 경우 부과하던 부가 요금은 폐지된다. 의료기관 도착 후 환자 인수인계까지의 소요 시간을 고려해 병원 도착 후 30분 경과 시부터 10분 단위로 부과하는 구급차 ‘대기 요금’도 도입된다. 개정안은 구급차 등에 갖춰야 하는 구급 의약품에 아나필락시스 쇼크 시 에피네프린을 투여할 ‘자동 주입펜’을 추가했다. 아나필락시
-
셀트리온제약, 2025년 역대 최대 매출액-영업이익 달성
한국헬스경제신문 유재민 기자 | 셀트리온제약(대표 백승열)은 5일 실적 공시를 통해 2025년 연간 매출액 5,364억원, 영업이익 561억원을 기록했다고 밝혔다. 전년 대비 매출액은 12.3%, 영업이익은 50.7% 증가하며 매출과 영업이익 모두 창사 이래 최대 실적을 경신했다. 지난해 4분기를 기준으로 매출액은 약 1,544억원, 영업이익은 137억원을 기록해 전년 동기 대비 각각 13.9%, 31.1% 성장하며 분기 실적 역시 호조세를 이어갔다. 셀트리온제약은 이번 실적 성장의 배경으로 주요 제품의 안정적 매출 성과와 신규 제품들의 조기 국내 시장 진입을 꼽았다. 특히 인력 확충과 연구개발비 증가에도 불구하고 원가 개선 및 PFS 생산시설 최대 가동이 유지돼 사상 최대 실적을 달성했다. 케미컬 사업 부문은 연간 총 2,140억원의 매출액을 기록했다. 간장용제 ‘고덱스캡슐’과 고혈압 치료제 ‘딜라트렌정’이 전년 대비 각각 2.4%, 14.3% 늘어난 684억원, 574억원의 매출을 올렸다. 생산 내재화 제품들도 안정적인 성장세를 이어갔으며, 그 중 ‘네시나’·’액토스’ 등 당뇨 치료제가 전년 대비 16.2% 상승한 348억원의 매출을 기록했다. 또한 바이
-
“하루 커피 2~3잔, 치매 위험 낮추고 인지 기능 보호 효과”
한국헬스경제신문 김기석 기자 | 카페인이 든 커피와 차가 뇌 건강에 도움을 줘 치매 위험을 낮춘다는 연구 결과는 여러 연구기관에서 발표된 적이 있다. 커피와 차에는 폴리페놀과 카페인과 같은 생리활성 물질이 포함돼 있는데, 이들 성분이 염증과 세포 손상을 줄이고 인지 기능 저하를 막는 신경 보호 요인으로 주목받아 왔다. 영국 바이오뱅크(UK Biobank) 연구에서는 하루 두세 잔의 커피를 마시는 그룹이 마시지 않는 그룹보다 치매 위험이 약 26% 낮게 나타났다. 핀란드와 스웨덴 공동 연구에서는 커피를 매일 3~5잔 마신 사람들은 노년에 치매 발생 위험이 65% 감소하는 것으로 나타났다. 이번에는 긴 기간, 많은 사람을 대상으로 한 방대한 연구 결과가 나왔다. 미국 하버드대 의대 대니얼 왕 교수팀은 10일 미국의사협회저널(JAMA)에서 간호사와 보건전문가 건강 연구에 참여한 13만여 명의 40여 년간 추적 자료를 분석, 카페인 섭취가 치매 위험을 낮출 수 있음을 확인했다고 밝혔다. 추적 관찰 기간에 치매 진단을 받은 사람은 1만1천33명이었다. 분석 결과, 카페인 섭취량 상위 25% 그룹의 치매 발생률은 10만 인년당(person-year: 1인년은 한 사람을
-
[궁금한 건강] <84>귀지 파는 게 좋은가
한국헬스경제신문 김기석 기자 | 샤워를 한 뒤 면봉으로 귀를 후비는 사람들이 많다. 매일 귀이개를 달고 사는 사람도 있다. 가족끼리 애정의 표현으로 귀지를 파주기도 한다. 그러다 잘못 파면 귀에 피가 나기도 하지만 귀지를 파면 시원한 느낌이 들어서 좋다. 과연 귀지는 가끔이라도 파주는 게 좋은가, 오래 그대로 두어도 되는 걸까. 결론부터 말하면 의학적으로 귀지는 가급적 파지 않는 것이 가장 좋다. 귀지를 파지 말아야 하는 이유는 귀지는 단순히 ‘귓밥’이 아니라, 귀 건강을 지키기 위해 우리 몸이 만들어낸 천연 보호막이기 때문이다. 귀지는 탈락한 피부세포와 지질로 이뤄졌는데 이를 단순한 노폐물로 보면 안 된다. 귀지가 생기는 건 다 이유가 있다. 귀지는 고막에서 바깥쪽으로 서서히 이동하며 죽은 세포와 먼지를 함께 배출하는 자정작용을 한다. 즉, 가만히 둬도 알아서 청소가 되는 것이다. 또 귀지는 약산성을 띠고 있어 세균이나 곰팡이가 번식하는 것을 막아준다. 이밖에도 귀지는 귓속 피부가 건조해지는 것을 막고, 벌레나 이물질이 들어가지 못하게 차단한다. 귀지는 대부분 자연스럽게 귀 밖으로 배출되기 때문에 특별한 불편이 없다면 제거할 필요가 없다. 면봉이나 귀이개
-
[궁금한 건강] <83>헬리코박터균, 치료해야 하나?
한국헬스경제신문 윤해영 기자 | 건강검진 결과에서 헬리코박터균 양성 판정을 받고 당황하는 사람들이 많다. 국민 2명 중 1명이 감염되어 있다고 알려진 헬리코박터균(Helicobacter pylori)은 과연 얼마나 위험하며 어떻게 관리해야 할까. 헬리코박터균은 강한 산성이 뿜어져 나오는 위장 속에서도 끈질기게 살아남는 나선형 세균이다. 스스로 알칼리성 암모니아를 생성해 위산을 중화하며 생존한다. 일단 자리를 잡으면 자연적으로 사라지는 법이 거의 없다. 이 균은 주로 구강을 통해 감염된다. 찌개 하나를 여러 명이 떠먹거나, 술잔을 돌리는 한국 특유의 식문화가 높은 감염률의 원인 중 하나로 지목된다. 헬리코박터균은 단순히 위에 머무는 것에 그치지 않고 위 점막에 염증을 일으킨다는 점에서 간단히 넘어갈 문제가 아니다. 만성 위염의 주요 원인이며, 위궤양 환자의 약 70~80%에서 이 균이 발견된다. 세계보건기구(WHO)는 헬리코박터균을 1급 발암물질로 분류하고 있다. 감염자는 비감염자보다 위암 발생 위험이 2배에서 많게는 6배까지 높은 걸로 보고돼 있다. 헬리코박터균이 있는지 검사는 요소호기검사 (UBT)을 통해 간단히 할 수 있다. 제균 치료를 강력히 권하는 이
-
“당 섭취가 비만 증가에 기여…설탕부담금이 대안”
한국헬스경제신문 김기석 기자 | 이재명 대통령은 1월 28일 설탕에도 담배처럼 부담금을 부과하는 아이디어를 제시했다. 담배에 부과하는 국민건강증진기금을 설탕에도 유사한 부담금으로 부과해 가격 상승을 통한 사용 억제를 유도하고, 이를 공공의료 강화 재원으로 사용하자는 제안이다. 이에 의료계가 호응했다. 당 섭취가 비만 증가에 기여하는 만큼 설탕부담금을 매겨 정책적으로 개입해야 한다는 의료계 주장이 나왔다. 김현창 연세대 의대 예방의학 교수는 5일 고려대 백주년기념삼성관에서 대한예방의학회가 연 ‘설탕부담금 도입 관련 정책 토론회’에서 이렇게 주장했다. 김 교수는 “비만과 과체중의 증가 속도가 매우 빠르고, 특히 어릴수록 비만이 빠르게 늘고 있다”며 “코로나19 확산 기간에는 초등학생의 비만이 급증했고, 사회경제적 수준이 낮을수록 비만율이 높다”고 진단했다. 그러면서 “당 섭취는 비만과 만성질환을 늘리는 요인”이라며 “가당 음료가 건강에 해를 끼친다는 근거는 이미 충분하고, 더 절대적인 증거가 나올 때까지 보건 정책 시행을 미루는 오류에 빠져서는 안 된다”고 강조했다. 대한비만학회에 따르면 우리나라 소아청소년 비만 유병률은 2014년 10.0%에서 2023년 13
-
유튜브에서 봤는데...“암·당뇨 관련 영상, 절반 이상 근거 부족"
한국헬스경제신문 윤해영 기자 | 유튜브에 올라온 의료 정보 영상 상당수가 의학적 근거가 부족하다는 연구 결과가 나왔다. 국립암센터 강은교 교수팀은 의료 전문가가 제작한 건강 정보 영상의 수준을 평가하기 위해, 2025년 6월 20일부터 21일까지 유튜브에 게시된 암·당뇨병 관련 영상 가운데 조회 수 1만 회 이상, 길이 1분 이상이면서 구체적인 건강 관련 내용을 담은 309개 영상을 분석했다. 연구팀은 각 영상에 포함된 의학적 주장에 대해 근거 수준을 A부터 D까지 4단계로 분류했다. A등급은 진료지침이나 체계적 문헌고찰에 근거한 경우, B등급은 무작위 임상시험이나 코호트 연구 등 비교적 신뢰도 높은 연구에 근거한 경우, C등급은 제한적인 관찰연구나 생리적 기전 설명 등에 근거한 경우, D등급은 개인 경험담이거나 근거를 확인할 수 없는 경우로 나눠 평가했다. 그 결과, 전체 영상 가운데 62.5%는 매우 낮은 수준의 근거이거나 근거를 확인할 수 없는 D등급에 해당했다. 반면, 진료지침이나 체계적 문헌고찰 등 높은 수준의 근거를 갖춘 A등급 영상은 19.7%에 그쳤다. 중간 수준의 근거인 B등급은 14.6%, 낮은 수준의 근거인 C등급은 3.2%였다. 특히 근
-
[궁금한 건강] <49>술자리 전 우유 한 잔, ‘위벽 코팅’ 효과 있을까?
한국헬스경제신문 박건 기자 | 술자리에서 속을 보호하기 위해 사전에 우유를 마시는 사람들이 있다. 위벽을 코팅해 알코올로 생기는 손상을 막을 수 있다고 생각해서다. 음주 전 우유는 정말 효과가 있을까? 결론부터 말하면, 우유가 위벽을 코팅해서 알코올 흡수를 막아준다는 말은 절반만 맞고 절반은 틀린 이야기다. 우유를 마시면 위 점막에 얇은 막이 형성되는 것은 맞다. 하지만 이 막은 아주 일시적이며, 알코올은 입자가 매우 작아서 그 틈을 뚫고 혈관으로 아주 잘 흡수된다. 위벽 코팅 효과보다는 숙취 지연 효과가 더 크다. 우유를 사전에 마시면 알코올이 위를 통과하는 속도를 지연시키는 효과가 있다. 알코올은 위에서 10%, 소장에서 90% 흡수된다. 액체 성분은 30분이면 소장으로 넘어간다. 우유는 알칼리성 성질이 있어 일시적으로 위산을 중화해주기 때문에, 술 마시기 전 속쓰림을 방지하는 데도 효과가 있다. 위장에 음식물이 없으면 소장에 알코올만 존재하기 때문에 흡수가 빨라지고, 혈중 알코올 농도가 급격히 상승한다. 빈속에 술을 마시면 빨리 취하는 이유다. 우유나 달걀처럼 단백질과 지방이 풍부한 식품은 위 배출 속도를 늦춘다. 알코올이 소장에 도달하는 속도도 느려지
-
손주가 생겼나요? 백일해 예방접종부터 하세요
한국헬스경제신문 한건수 기자 | 손주가 생기면 할아버지, 할머니에겐 큰 기쁨이다. 자주 안아보고 싶고 데리고 놀고 싶어진다. 그런데 처음 손주를 맞게 되는 조부모에겐 준비해야 할 일이 있다. 가장 시급하고 중요한 것이 예방접종이다. 신생아는 면역 체계가 아직 완성되지 않아 주변 성인들이 먼저 ‘인적 방어막’이 되어주는 것이 무엇보다 중요하다. 필수적으로 맞아야 할 백신은 백일해(Tdap)다. 백일해는 성인에게는 단순한 기침 감기처럼 지나갈 수 있지만, 영유아에게는 치명적인 질환이다. 손주를 만나기 최소 2주 전에는 접종을 완료해야 항체가 형성된다. 성인은 백일해 면역이 거의 사라진 상태인 경우가 많다. 과거에 맞았더라도 10년마다 추가 접종이 필요하며, 신생아 접촉 전에는 한 번 더 확인하는 것이 좋다. 백일해 예방접종은 어르신에 대한 국가 무료접종 대상이 아니므로 병원이나 보건소에서 가서 비용을 내고 맞아야 한다. 비용은 5만 원 안팎이다. 그 다음은 독감(인플루엔자) 백신 접종이다. 독감이 유행하는 시즌(보통 10월~4월)에 손주를 만난다면 예방 접종은 필수적이다. 매년 유행하는 바이러스가 다르므로 매년 맞아야 한다. 생후 6개월 미만 아기는 백신 접종이
-
인간의 수명은 타고난다?
한국헬스경제신문 박건 기자 | 질병이나 사고 같은 외부 요인으로 인한 사망의 영향을 제외할 경우 유전적 요인이 사람의 수명에 미치는 영향은 최대 55%에 이른다는 연구 결과가 나왔다. 이스라엘 바이츠만 연구소 우리 알론 교수팀은 30일 과학 저널 사이언스(Science)에서 유전적 요인의 영향이 수명 결정에서 약 50~55%를 차지하는 것으로 나타났다고 밝혔다.이는 수학적 모델과 인간 사망률 시뮬레이션, 대규모 쌍둥이 코호트 자료 등을 활용해 유전 등 내인성 사인과 사고 등 외인성 사인을 분리해서 분석한 결과다. 연구팀은 “외부 원인에 의한 사망을 적절히 보정하고 나면 인간 수명에 대한 유전적 요인의 기여는 약 55%까지 급격히 증가한다”며 “이는 유전적 요인의 영향에 관한 기존 연구 추정치의 두 배가 넘는 수준”이라고 말했다. 인간 수명에 대한 유전적 요인의 영향을 규명하는 것은 노화 연구의 핵심 과제이다. 지금까지 다양한 인구집단을 대상으로 한 연구에서는 수명에 대한 유전 요인의 영향은 15~33%이며, 일반적으로 사람의 자연 수명에서 유전적 요인의 영향이 20~25%를 차지하는 것으로 추정돼 왔다. 이런 추정치는 실험실에서 교배된 야생 생쥐를 이용한 실
-
여성, 심정지 때 속옷 안 벗긴 채 심폐소생술한다
한국헬스경제신문 박건 기자 | 국내 심폐소생술 지침이 5년 만에 개정됐다. 개정 지침에는 만 1세 미만 아기에 대한 압박법과 여성의 경우 브래지어 등 속옷 탈의를 하지 않고 자동심장충격기 패드를 부착하는 방법 등이 담겼다. 질병관리청과 대한심폐소생협회는 29일 이러한 내용을 담은 2025 개정 한국 심폐소생술 가이드라인을 발표했다. 이번 지침은 2020년 마지막으로 개정된 가이드라인을 기반으로 국내외 최신 연구 결과와 16개 전문단체의 의견을 반영해 개정됐으며, 전문가들은 국제 심폐소생술 합의 내용과 연구 등을 검토해 권고안을 마련했다. 기본소생술 분야에서는 자동심장충격기(AED) 사용률을 높이기 위해 구급상황요원이 신고자에게 충격기 사용을 지도하는 내용이 제안됐다. 여성 심정지 환자의 경우 신체 접촉에 대한 우려 등으로 충격기 사용률이 낮았다. 개정된 지침은 속옷(브래지어)을 제거하지 않고 위치를 조정한 뒤에 가슴 조직을 피해 충격기 패드를 맨 가슴에 부착하라고 권고했다. 이에 따르면 속옷을 옆으로 젖힌 다음 오른쪽 쇄골 뼈와 유두 사이, 왼쪽 옆구리 쪽에 각각 패드를 붙이면 된다. 지침 개정에 참여한 이창희 남서울대학교 교수는 “실험 결과 속옷을 탈의하지
-
[채소/과일 열전] <27> 겨울철 건강 파수꾼 ‘생강’
한국헬스경제신문 박건 기자 | 매운맛과 독특한 향을 지닌 생강은 단순한 요리 식재료를 넘어 고대부터 ‘신이 내린 선물’로 불릴 만큼 뛰어난 약성을 자랑한다. 특유의 알싸한 맛과 향 때문에 호불호는 갈리지만, 생강은 오랫동안 약재이자 식품으로 사랑받아온 대표적 건강 식품이다. 특히 기온이 떨어지고 면역력이 중요해지는 겨울에는 우리 몸을 보호하는 강력한 우군이 생강이 다. ◇항염 및 항산화 작용 생강의 핵심 성분은 ‘진저롤(gingerol)’이다. 이 성분은 강력한 항염 및 항산화 작용을 하는 것으로 알려져 있다. 염증은 관절염, 심혈관 질환, 당뇨병 등 각종 만성질환의 배경이 되는 중요한 기전인데, 진저롤은 염증 반응을 조절하는 데 도움을 줄 수 있다는 연구 결과들이 보고돼 있다. 생강을 가열하거나 말리면 ‘쇼가올(shogaol)’이라는 성분으로 일부 전환되는데, 이 역시 항산화 활성이 뛰어난 것으로 알려져 있다. ◇소화 촉진과 메스꺼움 완화 생강은 전통적으로 소화 불량이나 구역질 완화에 사용돼 왔다. 실제로 생강은 위장 운동을 촉진하고 위 배출 속도를 높이는 데 도움을 준다. 생강은 소화액 분비를 촉진하고 장운동을 도와 복부 팽만감을 줄여준다. 또한, 뇌의
-
[곡식 이야기] <6> 쌀과 함께 인류를 살린 '밀'
한국헬스경제신문 윤해영 기자 | 밀(Wheat)은 쌀과 함께 인류를 먹여 살리는 곡물의 양대 산맥이다. 1만 년 전부터 재배되기 시작한 인류 역사상 가장 오래된 작물 중 하나다. 밀이 전 세계적으로 사랑받는 이유는 단순히 흔해서가 아니라, 독특한 글루텐(Gluten) 성분 때문이다. 밀가루에 물을 붓고 반죽하면 쫄깃한 탄성이 생긴다. 이 덕분에 빵을 부풀리거나 면을 길게 뽑는 등 형태를 자유자재로 만들 수 있는 것이다. 그래서 제빵, 제면, 제과뿐만 아니라 맥주나 간장의 원료로도 쓰인다. 밀은 건조한 기후에서도 잘 자라며 보관이 쉬워 전 세계 어디서든 주식으로 활용된다. 밀은 글루텐 함량(단백질)에 따라 크게 세 가지로 나뉜다. 강력분은 단백질 함량이 높고 쫄깃해 식빵, 피자 도우, 베이글 등에 쓰인다. 중력분은 다목적용으로 적당한 탄성을 갖고 있어 국수, 수제비, 칼국수, 만두피 등에 쓰인다. 박력분은 단백질 함량이 낮고 바삭해 케이크, 쿠키, 튀김, 비스킷 등에 활용된다 밀은 에너지원인 탄수화물 외에도 다양한 영양소를 품고 있다. 복합 탄수화물은 활동에 필요한 에너지를 공급하고 식이섬유가 풍부해 소화를 돕는다. 또 비타민 B군과 철분, 마그네슘 등이 들어
-
[건강한 밥상] <26> 냉장고만 열면 냄새가...
한국헬스경제신문 한건수 기자 | 냉장고 문을 열자마자 올라오는 퀴퀴한 냄새는 음식 하나 때문이 아니다. 냉장고 냄새의 주범은 단백질과 지방이 분해되며 발생하는 휘발성 화합물이다. 이 분자들은 낮은 온도에서도 공기 중에 오래 남는다. 문제 음식을 치웠는데도 냄새가 지속되는 이유다. 그래서 냄새 제거보다 먼저, 냄새 분자를 붙잡거나 중화할 수 있는 환경을 만드는 것이 중요하다. 냄새 관리의 본질은 공기 관리에 가깝다. 베이킹소다는 약알칼리성으로 산성 냄새를 중화하는 데 효과적이다. 원두커피 찌꺼기는 미세한 기공 구조로 냄새 분자를 흡착해 탈취하는 역할을 한다. 살림 고수들은 두 재료를 상황에 따라 다르게 쓴다. 시큼한 냄새가 강할 때는 베이킹소다, 음식 냄새가 섞였을 때는 커피찌꺼기를 선택한다. 종이컵 등 밀폐하지 않은 용기에 담아 냉장고 구석에 두는 것이 흡착 효과를 높인다. 1~2개월마다 교체하면 된다. 냉장고 내부를 레몬 단면이나 식초 희석액으로 닦는 방법도 좋다. 산성 성분이 냄새 분자를 분해하고, 표면에 남은 지방 성분을 제거한다. 특히 선반 모서리와 문 고무패킹은 냄새가 축적되기 쉬운 사각지대다. 주기적으로 산성 닦기를 해주면 냄새가 쌓이기 전 상태로
-
“간병 파산 막아야 한다”
한국헬스경제신문 김기석 기자 | 입원 간병비를 건강보험과 의료급여로 보장하는 법안이 국회에 발의됐다. 국회 보건복지위원회 소속 서미화 더불어민주당 의원은 5일 ‘간병 파산’ 등으로 사회적 문제가 된 국민의 간병비 부담을 완화하기 위한 ‘국민건강보험법 개정안’과 ‘의료급여법 개정안’을 대표 발의했다. 현재 병원 입원실에서 1대1로 간병하는 사설 간병인을 고용할 경우 하루에 약 15만 원 이상이 든다. 간병인 1명이 환자 3명을 간병하면 한 달에 5만 원이다. 1대1 간병비는 한 달에 450만 원, 많게는 500만 원이나 든다. 병원비보다 당연히 많은 액수다. 국회입법조사처 보고서에 따르면 우리나라의 연간 사적 간병비 규모는 지난해 연 10조 원을 넘을 것으로 예상된다. 그러나 현행법상 ‘간병’은 건강보험이 적용되지 않아 환자와 가족이 전액을 부담하고 있다. 간병인은 주로 중국 조선족이 압도적으로 많고 자격증도 없다. ㅎ 대학병원급에서는 병원에 속한 간호인력이 환자를 돌보는 ‘통합간호간병 병실’이 확대되고 있다. 이 병실은 건강보험이 적용이 돼 하루 2만 원 정도가 들지만, 병실 수가 적고 혼자 거동할 수 없는 중증 환자는 들어갈 수가 없어 사설 간병인을 써야
-
"손주 돌보면 머리 좋아져요"
한국헬스경제신문 김기석 기자 | 할아버지·할머니가 손자와 손녀를 돌보는 일은 인지 기능 저하를 막는 데 도움이 된다는 연구가 많다. 최근 호주에서 진행된 ‘여성 건강 노화 프로젝트’ 연구에 따르면, 일주일에 하루 정도 손주를 돌보는 할머니들은 그렇지 않은 노인들에 비해 기억력과 사고력 테스트에서 더 높은 점수를 기록했다. 아이와 대화하고, 놀아주고, 챙기는 과정이 끊임없이 뇌를 자극하는 두뇌 운동이 되기 때문이다. 치매 예방에도 좋다고 한다. 아이들의 순수한 에너지는 조부모에게 강한 정서적 유대감과 자신이 ‘필요한 존재’라는 자존감을 부여한다. 이러한 긍정적인 감정 상태는 스트레스 호르몬인 코르티솔 수치를 낮추어 뇌 세포의 손상을 방지하는 효과가 있다. 또 아이를 따라다니고 산책을 시키는 등의 활동은 자연스럽게 신체 활동량을 늘린다. 신체 활동은 뇌로 가는 혈류량을 늘려 인지 기능을 유지하는 데 필수적인 요소다. 이밖에도 최근 네덜란드 틸뷔르흐대 플라비아 체레체슈 연구원(박사과정)팀의 연구에서도 비슷한 효과가 입증됐다. 연구팀은 2일 미국심리학회(APA) 학술지 ‘심리학과 노화’(Psychology and Aging)에 발표한 논문에서 손주 돌보기가 노년층의
-
[궁금한 건강] <81>'지하철 집진차량'을 아시나요
한국헬스경제신문 한건수 기자 | 지하철을 이용하면서 가끔 드는 의문이 있다. 당연히 초미세먼지나 미세플라스틱 등으로 인해 공기 질이 나쁠 텐데 과연 정화를 할까, 정화를 한다면 어떤 장치가 있을까 하는 것이다. 여러 연구에 따르면 지하철 내 미세먼지는 외부 유입보다 내부 발생 비중이 높다. 열차 바퀴와 레일 사이의 마찰, 브레이크 패드 마모, 팬터그래프와 전차선 간의 접촉으로 인해 철(Fe) 성분이 포함된 무거운 금속 입자가 많이 발생한다. 과거에 비해 서울 지하철의 공기 질은 비약적으로 개선되었다. 연구에 따르면 의외로 열차 내부가 가장 공기 질이 좋은 것으로 나타난다. 고성능 필터가 장착된 공기 정화 장치 덕분에 길거리보다 안전한 수치를 기록하기도 한다. 객차 내 공기 질은 가운데쯤이 가장 좋다고 한다. 승강장은 스크린도어 설치 이후 크게 개선되었다. 스크린도어는 승객의 안전뿐만 아니라 터널 내 오염된 공기가 승강장으로 유입되는 것을 차단하는 방어벽 역할을 톡톡히 하고 있다. 가장 공기의 질이 좋지 않은 곳은 대합실이나 플랫폼이 아니라 바로 ‘터널’이다. 터널 내에 쌓인 미세먼지가 열차 풍(wind by train)에 의해 승강장과 객차 내부로 유입된다.
-
생활 속에서 ‘미세플라스틱’ 줄여보세요
한국헬스경제신문 윤해영 기자 | 최근 환경 보호와 건강 분야에서 가장 뜨거운 화두 중 하나는 미세플라스틱(microplastics)이다. 미세플라스틱은 우리 주변 어디에나 존재하지만 눈에 보이지 않는다. 아직 국제적으로 통일된 정의는 없지만, 일반적으로 지름 5㎜ 이하부터 1㎛(마이크로미터·100만분의 1m) 이하의 나노플라스틱까지를 포괄하는 개념으로 사용된다. 너무 작아서 하수 처리 시설에서 걸러지지 않고 강이나 바다로 그대로 흘러 들어가는 경우가 많다. 미세플라스틱은 인간이 만들어 사용한 플라스틱이 마찰이나 자외선, 열 등 환경적 요인으로 잘게 부서지면서 생성된 것이다. 1차 미세플라스틱은 처음부터 미세한 형태로 제조된 것이다. 예를 들면 세안제나 치약 속의 스크럽 알갱이 ‘마이크로비즈’ 같은 것이다. 2차 미세플라스틱은 페트병, 비닐, 타이어, 합성섬유 옷 등이 햇빛(자외선)이나 파도에 의해 마모되고 부서져 작아진 것이다. 미세플라스틱이 사람에게 위험한 이유는 ‘흡착 성질’ 때문이다. 플랑크톤이 미세플라스틱을 먹이로 착각해 섭취하고, 이를 작은 물고기가, 다시 큰 물고기가 먹으면서 최종적으로 인간의 식탁까지 올라온다. 이를 ‘생물 농축’이라고 한다. 또


![[채소/과일 열전] <27> 겨울철 건강 파수꾼 ‘생강’](http://www.healtheconomy.co.kr/data/cache/public/photos/20260207/art_17708223353759_468787_300x200_c0.jpg)













































